Kangana Ranaut has said that Shah Rukh Khan's struggle is a master class for artists who enjoy long careers, but do not reinvent themselves.
The bench said to ‘unchain the shackles of preventive detention’, it is important that the safeguards enshrined in the Constitution, particularly under Articles 14 (equality), 19 (freedom) and 21 (life and liberty), are ‘diligently enforced’
The photos show the couple in the lovey-dovey moments as they proclaim their love for each other.
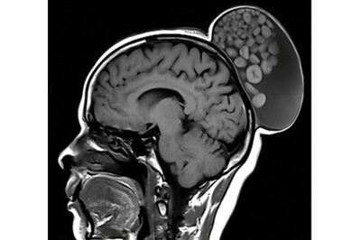
An MRI scan showed the cyst on the back of the woman's head, like a fleshy made hair bun
Petrol, and Diesel prices in Chennai, Kolkata, Bengaluru, Lucknow, Noida, and Gurugram on June 20, 2023
25-year-old employee Prasad Navneenth made a fake bomb threat to his office and the reason will shock you.
Sahil stabbed 16-year-old Sakshi over 20 times and bludgeoned her to death with a concrete block in public view in Shahbad Dairy area of northwest Delhi on Sunday evening
Anupam Kher announced being part of YRF entertainment film Vijay 69 with an exciting poster.
Sayali expressed her displeasure over the persistent trolling.
India is expected to privatise about a dozen more airports over the next few years and CEO Arun Bansal said the group would participate in the bidding
Bhubaneswar all set to host Hockey World Cup 2023, starting from January 13
A healthy sense of competition gives the best performing cities a sense of pride, says Union Minister Hardeep Singh Puri
The campaign came to a halt after the KBADA protested saying that this was unlawful
Puneri Paltan defeated Bengaluru Bulls 35-33 and further moved to the top spot on the points table
They have also made it clear that they are not affiliated in any way with the film.